Devo ou não extrair os dentes siso ?

A partir dos exames de documentação ortodôntica, o  dentista irá definir sobre a extração. Isso tudo irá depender do espaçamento da boca, caso os dentes nascerem alinhados.

Quando não extrair ?

Caso os dentes siso vierem a nascer alinhados e não prejudicarem os demais, há grande possibilidade de mantê-los na arcada, porém, pelo fato de estarem posicionados bem ao fundo, a probabilidade de cáries é maior, dessa forma, é necessário total atenção na higiene deles.

Quando extrair ?

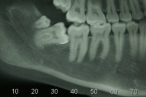
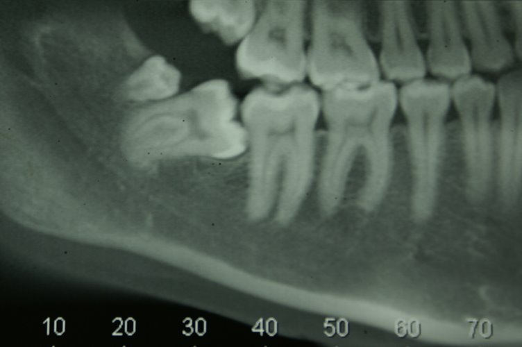
Com uma radiografia, o dentista irá definir. No entanto, quanto estiver incluso ou semi-incluso (preso ou parte dele preso), faz-se extremamente necessário a retirada. Nesses casos, o dente não nasce completamente ou somente em partes, deixando a área do fundo da boca irritada.

Em posições erradas, o dente pode ficar na diagonal, de lado, deitado ou até de cabeça para baixo, isso é causa para acúmulo de alimentos e formação de cáries, por exemplo.

dentista florianopolis arte sorriso SONY DSC

Arte Sorriso, dentista em Florianópolis, bairro Ingleses.
Acesse nosso site:
http://www.artesorriso.com

Deixe um comentário