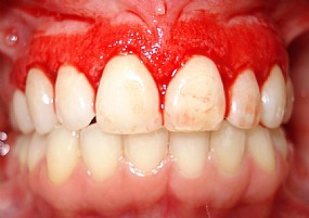
A inflamação na gengiva pode ocorrer por diversos motivos, como por exemplo, a falta de alguma vitamina e também pode originar sintomas como desconforto, alguma dor e sangramentos. O sangramento da gengiva, apresentando ainda uma cor “vermelho vivo” quando aparece é geralmente ignorada pela pessoa, pois imagina-se que houve uma lesão causada pela escova ou fio dental. Mas para que isso aconteça, o fio dental tem de “cortar” a gengiva ou a escova é dura demais. Portanto, se está sangrando, o dentista deve ser consultado.
Caso de não tratamento, a gengivite pode evoluir para a doença periodontal, ou seja, as toxinas produzidas pela bactéria abrirão caminho para um pequeno espaço entre o dente e a gengiva atacando também a parte de sustentação dos dentes. Dessa forma, irá ocorrer a destruição do tecido ósseo que envolve os dentes e estes começarão a amolecer e mudar de posição.
Arte Sorriso, dentista em Florianópolis, bairro Ingleses.
Acesse nosso site:
http://www.artesorriso.com
