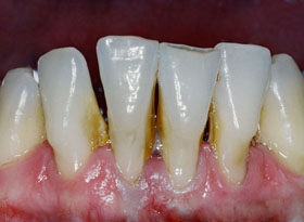
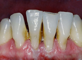
O tártaro é uma placa bacteriana que endurece na superfície dos dentes. Pode se formar sob a gengiva e irritar os tecidos gengivais. O tártaro dá à placa bacteriana um espaço maior propício para seu crescimento, o que pode levar a problemas mais sérios como a cárie e gengivite. Além desses problemas prejudiciais à saúde dos dentes e gengiva, existe ainda a questão estética.
Como saber se você tem tártaro.
Ao contrário da placa bacteriana que é uma película incolor, o tártaro é uma formação mineral facilmente visível, se estiver acima do nível da gengiva. O sinal mais comum [é uma cor marrom ou amarelada nos dentes na região da margem gengival. Só o dentista pode diagnosticar e removê-lo.
Escovação correta e uso de fio dental podem reduzir a formação da placa bacteriana e do tártaro. Porém, depois de formado, somente o dentista poderá fazer essa retirada.
Arte Sorriso, dentista em Florianópolis, bairro Ingleses.
Acesse nosso site:
http://www.artesorriso.com
