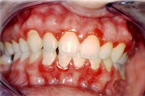
Provavelmente já aconteceu sangramento em sua gengiva. Não se assunte, este fenômeno é relativamente comum no cotidiano odontológico. A falta de higienização é a causa na maioria das vezes, ou seja, não escovou direito, sangra a gengiva.
Essa má higienização provoca, a princípio, uma irritação gengival que pode se transformar em uma inflamação e em casos mais sérios uma infecção podendo até mesmo atingir o osso onde o dente está fixado.
As principais causas do sangramento na gengiva são:
– Remoção inadequada da placa bacteriana;
– Desordem hemorrágica sistêmica;
– Escovação feita com excesso de força;
– Alterações hormonais durante a gravidez;
– Prótese mal ajustada;
– Erro no uso do fio dental;
– Infecção no próprio dente;
– Leucemia
– Escorbuto
– Uso de afinadores do sangue
– Deficiência de vitamina K
Se sua gengiva está sangrando, não perca tempo, entre em contato conosco. O tratamento correto acabará com seu problema rapidinho.
Arte Sorriso, dentista em Florianópolis, bairro Ingleses.
Acesse nosso site:
http://www.artesorriso.com
